Chẩn đoán hình ảnh tổng quát, hình ảnh sản phụ khoa, tim mạch
Chế độ hình ảnh:
3D/4D, doppler màu, đen trắng
Sử dụng cho :
Bệnh viện, phòng khám
Ổ cắm đầu dò:
2 ổ cắm đầu dò
Bảo hành:
1 năm
Giao hàng miễn phí
Chuyển giao công nghệ và giao hàng miễn phí
Đổi trả nhanh chóng
Đổi trả nhanh chóng
Hình thức thanh toán
Đa dạng: Chuyển khoản, tiền mặt, ship cod...
Hỗ trợ kỹ thuật
Hỗ trợ kỹ thuật miễn phí 24/7
Xem nhanh
Mô tảMyLab™ Gamma được trang bị 2 đầu nối đầu dò, màn hình điều khiển cảm ứng và bàn phím tiện dụng. Kết hợp hình ảnh có độ phân giải cao, công nghệ tiên tiến và hỗ trợ nhiều loại đầu dò, MyLab ™ Gamma là giải pháp siêu âm tối ưu cho tim mạch và một loạt ứng dụng khác.Hệ thống siêu âm MyLab™ Gamma
Thông tin chung về máy siêu âm MyLab™ Gamma
Model: MyLab™ Gamma
Hãng: Esaote
Xuất xứ: Ý
Hình ảnh 3D-4D
Hình ảnh lên tới 18 MHz
Màn hình rộng 15.6 inch, có chế độ full-screen và khả năng xoay gập đa chiều.
Hai ổ cắm đầu dò tiêu chuẩn, có khả năng mở rộng lên đến 4 ổ cắm đầu dò đồng thời.
Nhỏ gọn, có tính di động cao, kết nối không dây, sẵn sàng sử dụng trong vài giây
Có thể tùy chỉnh hoàn toàn bằng tính năng eTouch ™
Đặc điểm nổi bật của máy siêu âm MyLab ™ Gamma
MyLab ™ Gamma - Thiết bị siêu âm cao cấp và di động
MyLab ™ Gamma là thiết bị mang lại hình ảnh chất lượng tuyệt vời và chẩn đoán nhanh chóng, chính xác ở mọi thời điểm.MyLab ™ Gamma là hệ thống siêu âm có tính di động cao, tốt nhất trong phân khúc. Hệ thống di động siêu nhẹ, đầy đủ tính năng giúp sử dụng siêu âm nhanh chóng.Là công ty dẫn đầu trong thiết bị y tế, Esaote đã thiết kế MyLab™ Gamma để đáp ứng nhu cầu khắt khe về môi trường làm việc của kỹ thuật viên siêu âm, đặc biệt là những người sử dụng hệ thống siêu âm nhiều giờ mỗi ngày mà không ảnh hưởng đến độ tin cậy chẩn đoán.
MyLab ™ Gamma - Đa dạng chế độ
Máy siêu âm di động mới MyLab ™ Gamma là một hệ thống cực kỳ cơ động, có thể dễ dàng chia sẻ giữa các khoa khác nhau trong phòng khám hoặc bệnh viện và cũng có thể được mang đến tận nơi mà không gặp vấn đề gì.
Gây mê
Chăm sóc cấp cứu
Tim mạch
Mạch máu
Phóng xạ học
Cơ xương khớp
Sản phụ khoa
Thần kinh học
Tính cơ động cao
MyLab ™ Gamma hoạt động bằng pin, khiến nó trở thành một hệ thống cực kỳ di động, có thể dễ dàng mang đến giữa các khoa khác nhau trong phòng khám hoặc bệnh viện.Thiết bị có thời gian khởi động nhanh từ chế độ chờ, nhờ đó giúp thiết bị dễ dàng sử dụng trong vòng vài giây.Thiết bị được đánh giá phù hợp với mong muốn của người làm siêu âm: nó làm tăng sự thoải mái và hài lòng, từ đó mang lại kết quả chẩn đoán chính xác.
Công thái học + etouch
Màn hình rộng có độ phân giải cao có thể xoay +90/-90 độ để tăng sự thoải mái và cho phép chia sẻ thăm khám với bệnh nhân hoặc đồng nghiệp. Hệ thống siêu âm hoạt động êm nhẹ, giúp cải thiện chất lượng môi trường làm việc và giảm sự xáo trộn cho người vận hành.Giao diện dựa trên màn hình eTouch ™ dễ sử dụng của Esaote hướng dẫn người vận hành thông qua việc thiết lập và chụp ảnh, cho phép quy trình làm việc nhanh hơn.Công nghệ eTouch ™ mang lại sự cải tiến vượt trội cho người dùng siêu âm: đầu dò phù hợp và cài đặt trước phù hợp, chỉ trong một lần chạm. Các cài đặt tùy chỉnh và nhiều chức năng có thể được sắp xếp theo sở thích lâm sàng và sau đó dễ dàng gọi lại chỉ bằng cách nhấn nút.
Mylab Gamma - Thiết kế đầu dò dễ sử dụng
Đầu dò hình quả táo giữ cho bàn tay và cổ tay thẳng tự nhiên, phân bổ lực nắm khắp toàn bộ bàn tay. Thiết kế này giúp người dùng có thể giảm căng thẳng ở các ngón tay và cổ tay.Hai đầu nối đầu dò cho phép hai đầu dò được kết nối với hệ thống siêu âm: việc chuyển đổi lựa chọn đầu dò trong quá trình kiểm tra rất đơn giản, tăng thêm hiệu quả và quy trình làm việc.Thiết bị có sẵn nhiều đầu nối tùy chọn, cho phép kết nối và lựa chọn tối đa bốn đầu dò thông qua giao diện phần mềm trực quan.
Kết nối không dây: Kết nối mạng dễ dàng, chỉ bằng một cú nhấp chuột
Tích hợp kết nối không dây, một tính năng hàng đầu cho một hệ thống có quy mô và giá cả như vậy, tạo điều kiện kết nối mạng dễ dàng chỉ bằng một cú nhấp chuột với các hệ thống khác và mạng cục bộ theo yêu cầu.Kết nối mạng dễ dàng chỉ với một cú nhấp chuột. Điều này giúp người dùng dễ dàng chia sẻ thông tin, dữ liệu giữa thiết bị siêu âm với máy tính, điện thoại, máy tính bảng...MyLab ™ Gamma cung cấp bộ phần mềm MyLab ™ Desk 3 , một giải pháp Esaote độc quyền cho phép người dùng cài đặt cùng một phần mềm chạy trên hệ thống siêu âm trên bất kỳ PC nào.
Các ứng dụng với máy siêu âm MyLab™ Gamma
Mylab Gamma được ứng dụng trong nhiều lĩnh vực siêu âm y tế, hỗ trợ:
Gây mê
Chăm sóc cấp cứu
Tim
Mạch X quang, mạch máu
Cơ
Xương khớp
Sản phụ khoa
Thần kinh học
Thiết bị ngoại vi máy siêu âm MyLab ™ Gamma
Esaote có khả năng kết nối với máy in để cho phép chất lượng hình ảnh in tốt nhất và đáp ứng mọi nhu cầu cụ thể về lưu trữ chẩn đoán.
Các thiết bị ngoại vi siêu âm có thể kết nối với máy siêu âm phụ thuộc vào hệ thống/cấu hình.
Chứng chỉ máy siêu âm MyLab™ Gamma
MyLab ™ Gamma do Esaote SpA sản xuất, tuân thủ chứng chỉ MDR 2017/745 và các sửa đổi liên tiếp. Theo quy định này, Esaote đã phân loại nó là thiết bị Loại IIa.
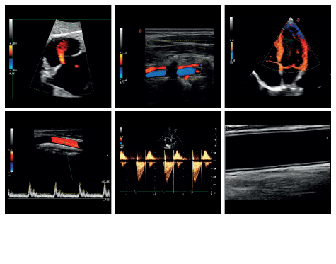
Tính năng + hình ảnh siêu âm với máy MyLab ™ Gamma
Siêu âm tổng quát
MicroV – Siêu âm vi mạch máu, nhận diện các dòng chảy siêu nhỏ và vận tốc thấp. Đặc biệt, phân bố mạch máu trong các sang thương khu trú.
ElaXto – Siêu âm đàn hồi mô định tính xác định độ đàn hồi mô cùng tỷ lệ độ cứng, tỷ lệ đường kính E/B ứng dụng trong vú, giáp, cơ xương khớp và được hướng dẫn bởi hiệp hội siêu âm thế giới WFUMB.
Sinh thiết, khối dây thần kinh, hướng dẫn đường trung tâm được cải tiến với Cải tiến kim - giúp kim có thể phân biệt rõ ràng với các mô xung quanh.
CPI - Tăng cường độ phân giải và độ sâu thăm khám, tăng cường sự tự tin trong các trường hợp khó hoặc cơ thể béo.
Siêu âm sản phụ khoa
Đầu dò lồi và nội soi cung cấp chất lượng hình ảnh tuyệt vời trong ứng dụng Sản phụ khoa, trong khi đầu dò 3D cũng có thể được sử dụng trong quá trình kiểm tra hình ảnh sức khỏe phụ khoa và hình ảnh thai nhi.AutoNT giúp tự động đo độ mờ da gáy, AutoIT giúp tự động đo lớp trong mờ vùng gáy. Xlight giúp cho hình ảnh siêu âm thai nhi 3D/4D rõ ràng. Chế độ Triplex trên dây rốn giúp bác sĩ dễ dàng phát hiện bất thường ở thai nhi.
Siêu âm tim mạch
Đối với các ứng dụng Tim mạch , MyLab ™ Gamma được trang bị các gói siêu âm tim và mạch máu toàn diện , đồng thời cung cấp chất lượng hình ảnh tuyệt vời trong một kích thước rất nhỏ gọn. Các công cụ nâng cao (QIMT , XStrain ™ (*), TEE Probe , Post Treatment...)XStrain4D: Phân tích các mặt cắt đỉnh tiêu chuẩn (2Ch, 4Ch, Alax), XStrain4D cung cấp đánh giá thể tích đầy đủ của tâm thất trái. Các đường cong toàn cục và khu vực cũng như các phép đo thể tích và tốc độ biến dạng - biến dạng được hiển thị dễ dàng và nhanh chóng.
Giao hàng và chuyển giao công nghệ miễn phí áp dụng trong cả nước.
Cung cấp dịch vụ thử máy miễn phí khi có yêu cầu của quý khách.
Bảo hành 1 năm với tất cả các máy do Việt Thanh Group cung cấp.
Kiểm nghiệm, hiệu chỉnh và bảo dưỡng miễn phí trong 24 tháng tiếp theo.
Cam kết đổi mới 100% các thiết bị do Việt Thanh cung cấp nếu có lỗi do nhà sản xuất trong thời giản từ 7-60 ngày ở từng sản phẩm.
Hỗ trợ trả góp 50% giá trị các thiết bị có giá từ 60 triệu đồng trở lên trong thời gian từ 3 đến 6 tháng với 0% lãi suất.
Hỗ trợ kỹ thuật online 24/7 trọn đời máy.
Miễn phí đào tạo sử dụng thiết bị đo đạc cơ bản cho các đơn vị không có kỹ thuật chuyên ngành trắc địa.
Cho mượn thiết bị tương đương nếu như xảy ra sự cố trong thời gian bảo hành không phải do người sử dụng gây ra, để làm việc tạm thời đến khi máy được sửa xong để đảm bảo tiến độ công việc của khách hàng (Sự cố hoặc những hỏng hóc do khách hàng tự gây nên thì không được tính trong phạm vi đổi hoặc bảo hành).
Thời điểm giao hàng: ngay sau khi đặt hàng hoặc ký hợp đồng.
Cảm ơn quý khách hàng đã quan tâm đến các sản phẩm của chúng tôi!
Tác giả
Lê Thúc Vinh: Phó phòng kỹ thuật VT Group, trực tiếp hỗ trợ khách hàng trong công tác đo đạc, bay chụp, hỗ trợ kỹ thuật bảo trì bảo dưỡng, sữa chửa hiệu chỉnh kiểm nghiệm các loại máy GPS 2 tần số RTK, Máy Toàn Đạc, máy Thủy Bình, máy định vị GPS cầm tay Garmin...
Be the first to review “Máy Siêu Âm MyLab™ Gamma”