MyLab™ X6máy siêu âm cao cấp hướng đến các bệnh viện và phòng khám đa khoa. Thiết bị tích hợp những tính năng siêu âm chuyên sâu về tổng quát, tim, mạch máu, sản phụ khoa. Không những thế, Mylab X6 còn mang đến những hình ảnh và tính năng siêu âm thai nhi tuyệt vời với tính năng siêu âm 3D/4D cao cấp

Thông tin chung về máy siêu âm MyLab™ X6

  • Model: MyLab™ X6
  • Hãng: Esaote
  • Xuất xứ: Ý
  • Máy thiết kế màn hình hiển thị IPS LED 21.5″; Màn hình cảm ứng LED 8.9″
  • 04 cổng kết nối đầu dò
  • Độ sâu thăm khám 22 – 410 mm
  • Hơn 4,000,000 kênh xử lý số hoá
  • Tốc độ khung hình 2,183 khung hình/giây
  • Đầu dò Convex tần số cao 1-8 MHz; Đầu dò MicroConvex 200 độ
  • Tính năng siêu âm 5D cao cấp XLight
  • TVI Doppler mô cơ tim
  • Phần mềm đàn hồi mô ElaXto
may sieu am mylab x6

Đặc điểm nổi bật của máy siêu âm MyLab ™ X6

MyLab ™ X6 - Giao diện thân thiện, dễ dàng điều chỉnh

MyLab ™ X6 là thiết bị y tế mới của Esaote giúp quy trình siêu âm trở nên hiệu quả và suôn sẻ, thiết bị không chỉ tăng năng suất mà còn nâng cao hiệu suất lâm sàng của người dùng.Sở hữu màn hình LED công nghệ HD IPS 21,5 inch để có được chất lượng hình ảnh vượt trội và mức độ chi tiết cao. Phản hồi nhanh và sử dụng giao diện dễ dàng cũng thích ứng hoàn hảo với tất cả các nhu cầu lâm sàng, mang lại cho người dùng sự thoải mái và linh hoạt khi đánh giá.Tự động hóa không cần nhấp chuột với:
  • AutoNT : Tự động đo độ mờ da gáy (NT).
  • AutoEF : Tự động đo Phân suất tống máu (hoàn toàn tự động).
  • XStrain: Tự động ghi vận tốc lớp nội mạc cơ tim
may sieu am mylab x6

Đa dạng đầu dò cho hình ảnh siêu âm chất lượng

may sieu am mylab x6
Thiết kế, vật liệu và công nghệ sản xuất đầu dò là những yếu tố chính quyết định chất lượng hình ảnh của hệ thống siêu âm. Nhờ sự đổi mới của đầu dò siêu âm máy MyLab ™ X6 đạt tiêu chuẩn iQProbes cung cấp hình ảnh tiên tiến nhất.
  • Vật liệu composite tổng hợp, thiết kế hình quả táo thân thiện, dễ dàng cầm khi thao tác.
  • Nhiều lớp cảm ứng
  • Ống kính hình học Bi-con
  • Sử dụng rộng rãi các ứng dụng với hình dạng mở rộng, thể tích, ứng dụng hiệu quả trong phẫu thuật và hình dạng đầu dò đặc biệt.
Nhiều đầu dò giúp hỗ trợ hoạt động siêu âm:
  • Nhanh và dễ
  • Tự động hóa không cần nhấp chuột
  • Độ tin cậy chẩn đoán cao
  • Danh mục thăm dò lớn
  • Thời gian khởi động dưới 15 giây
  • Phương pháp tiếp cận một đầu dò: chỉ với một đầu dò, bạn có thể thực hiện kiểm tra hình ảnh y tế hoàn chỉnh và đơn giản hóa công việc hàng ngày của mình
  • Khả năng kết nối mở rộng: các tính năng nâng cao cho phép chia sẻ kết quả khám siêu âm với người khác, ngay cả trên máy tính bảng và thiết bị di động
may sieu am mylab x6

Các ứng dụng với máy siêu âm MyLab™ X6

may sieu am mylab x5
  • Tim mạch MyLab  X6 được trang bị có khả năng siêu âm tim và mạch máu toàn diện. Các phép đo và báo cáo siêu âm tim mạch có thể tùy chỉnh.
  • Sản phụ khoa Các đầu dò lồi, đầu dò 3D, đầu dò siêu âm bụng... cung cấp chất lượng hình ảnh rõ ràng, chất lượng khi siêu âm sản phụ khoa.
  • Hình ảnh tổng quát MyLab X6 mới của Esaote đáp ứng mọi nhu cầu lâm sàng: từ siêu âm bụng đến nội tiết; hỗ trợ chẩn đoán, điều trị và cuối cùng là theo dõi.

Kết nối của máy siêu âm MyLab™ X6

Esaote được bán chính hãng tại Việt Thanh Group, hãng đã được công nhận là công ty hàng đầu thế giới trong việc quản lý và chia sẻ dữ liệu lâm sàng, đóng góp vững chắc cho nền y học thế giới.  MyLab™ X6 có khả năng kết nối với hệ thống máy tính, máy tính bảng, điện thoại, tương thích với nhiều thiết bị đầu dò của các thương hiệu khác.

Thiết bị ngoại vi máy siêu âm MyLab ™ X6

Esaote có khả năng kết nối với máy in để cho phép chất lượng hình ảnh in tốt nhất và đáp ứng mọi nhu cầu cụ thể về lưu trữ chẩn đoán.

Các thiết bị ngoại vi siêu âm có thể kết nối với máy siêu âm phụ thuộc vào hệ thống/cấu hình.

Chứng chỉ máy siêu âm MyLab™ X6

MyLab ™ X6 do Esaote SpA sản xuất, tuân thủ chứng chỉ MDR 2017/745 và các sửa đổi liên tiếp. Theo quy định này, Esaote đã phân loại nó là thiết bị Loại IIa.

Tính năng + hình ảnh siêu âm với máy MyLab ™ X6

Siêu âm tổng quát

may sieu am mylab x6
ElaXto – Siêu âm đàn hồi mô định tính xác định độ đàn hồi mô cùng tỷ lệ độ cứng, tỷ lệ đường kính E/B ứng dụng trong vú, giáp, cơ xương khớp và được hướng dẫn bởi hiệp hội siêu âm thế giới WFUMB.
may sieu am mylab x6
VPAN - mở rộng trường nhìn trên đầu dò Linea lên đến 60 cm.
may sieu am mylab x6
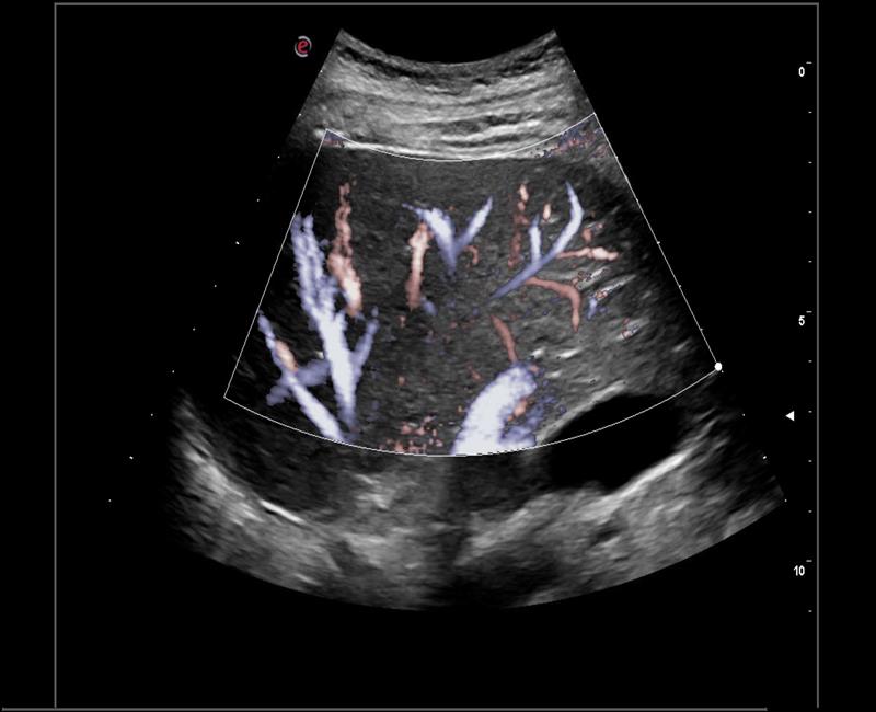
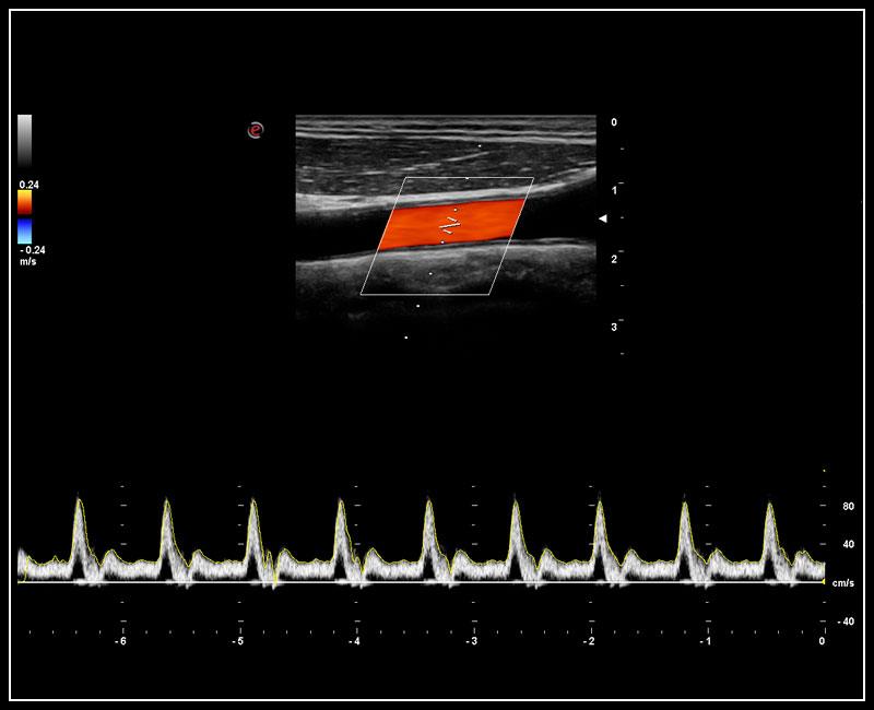
XFlow – Tăng cường độ nhạy trong siêu âm mạch máu, đặc biệt là các mạch máu nhỏ, có vận tốc thấp.
may sieu am mylab x6
BiRad – TiRad: các protocol tự phân độ BiRad, TiRad theo tiêu chuẩn của ACR (American College of Radiology).

Siêu âm sản phụ khoa

may sieu am mylab x6
AutoNT – Tự động đo độ mờ da gáy. AutoIT – Tự động đo lớp trong mờ vùng gáy.
may sieu am mylab x6
XLight - phần mềm siêu âm 3D/4D chuyên sâu cho mặt thai nhi mịn, chân thật nhờ công nghệ bố trí nguồn sáng ảo và khả năng tái tạo bề mặt.
may sieu am mylab x6
XLight với chế độ cột sống của thai nhi.
may sieu am mylab x7
VRA - phần mềm tự động tính toán thể tích nang noãn.
may sieu am mylab x6
TMI - Siêu âm đa lát cắt.
may sieu am mylab x6
TSI - dựng 3D/4D từ các góc độ hẹp.

Siêu âm tim mạch

may sieu am mylab x6
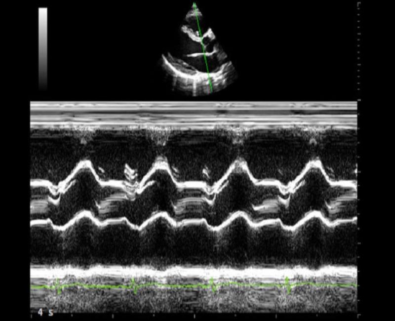
CMM - chế độ M-mode, giúp tăng hiệu quả thăm khám trong các trường hợp khó khăn, lên đến 3 đường thời gian thực.
may sieu am mylab x6
TVM - Bản đồ vận tốc mô với chế độ kép (Doppler màu và Doppler năng lượng).
may sieu am mylab x6
XStrain - Đánh giá vận động vùng tâm thất trái toàn diện với Siêu âm đánh dấu mô cơ tim.
may sieu am mylab x6
easyTrace - Tự động đo lường và hiển thị tất cả các thông số cần thiết.
Tài liệu: Brochure mylab X6