MyLab™ X7 là máy siêu âm nhập khẩu nguyên chiếc từ Ý, cung cấp các tính năng cấu hình mở rộng, giúp bác sĩ quan sát tốt nhất trong quá trình siêu âm. Hệ thống kết hợp các tính năng cải tiến và cao cấp, bao gồm CPI, MicroV độ nhạy cao, XStrain4D, XSTIC cho phép các bác sĩ lâm sàng tự tin về kết quả chẩn đoán siêu âm trong tất cả các loại thăm khám.

Thông tin chung về máy siêu âm MyLab ™ X7

  • Model: MyLab™X7
  • Hãng: Esaote
  • Xuất xứ: Ý
  • Màn hình IPS 21.5″, công nghệ IPS LED mới nhất cho chất lượng hình ảnh tốt và chế độ full màn hình.
  • Màn hình cảm ứng LED 8.9″
  • 4 ổ cắm đầu dò
  • Trên 3,000,000 kênh xử lý số hoá
  • Tốc độ khung hình 1449 hình/giây
  • Đầu dò Convex 1-8 MHz
  • Trường nhìn đầu dò MicroConvex 200 độ
  • Phần mềm Xlight siêu âm 5D
may sieu am mylab x7

Đặc điểm nổi bật của máy siêu âm MyLab ™ X7

MyLab ™ X7 - Giao diện thân thiện, dễ dàng điều chỉnh

Công nghệ MyLab ™ X7 mới của Esaote cho phép các bác sĩ siêu âm đưa ra quyết định tốt hơn, nhanh hơn và đáng tin cậy hơn nhờ kết quả trực quan và thiết kế công thái học đáp ứng mọi nhu cầu.

Thiết bị y tế này tận dụng hệ thống linh hoạt, tính di động với chất lượng hình ảnh vượt trội, cách sử dụng giao diện đơn giản tối ưu và kết quả đầu ra nhanh hơn đáng kể nhờ các chức năng tự động hóa không cần nhấp chuột.

Các chi tiết có thể được nhìn thấy rõ ràng hơn bao giờ hết với màn hình LED công nghệ IPS, đồng thời đánh giá huyết động tiên tiến với độ nhạy cao và độ phân giải không gian cao cho phép người dùng thực hiện đánh giá một cách trơn tru và tự tin hơn, ngay cả trong những tình huống khó khăn.

may sieu am mylab x7

Tăng độ tin cậy chẩn đoán

may sieu am mylab x7
MyLab X7 thể hiện các tính năng cấu hình mở rộng, giúp bác sĩ thực hiện tốt nhất có thể trong các quy trình nâng cao.Thiết bị kết hợp các tính năng tiên tiến và cải tiến, bao gồm:
  • CPI
  • MicroV có độ nhạy cao
  • XStrain4D,
  • XSTIC
Và nhiều tính năng tiên tiến cho phép các bác sĩ lâm sàng tự tin sử dụng siêu âm trong tất cả các loại thăm khám.

Quy trình làm việc được tối ưu hóa

Nhờ nền tảng Windows 10 mạnh mẽ, MyLab X7 giúp giảm thời gian kiểm tra và quy trình làm việc tốt hơn nhờ nhiều chức năng xử lý "không cần nhấp chuột" tự động để chụp ảnh, doppler, xử lý hậu kỳ, đo lường, lưu trữ và kết nối.Với quy trình xử lý “không cần nhấn”, phân suất tống máu của tim, độ mờ da gáy của thai nhi... giờ đây có thể được thực hiện nhanh chóng và dễ dàng.
  • Thời gian khởi động thiết bị dưới 15 giây từ chế độ chờ
  • Dễ dàng rút phích cắm và dễ dàng di chuyển
  • Dễ dàng sử dụng
  • Màn hình LED công nghệ HD IPS 21,5 inch
  • Công nghệ màn hình cảm ứng mới nhất
may sieu am mylab x7

Đa dạng đầu dò cho hình ảnh siêu âm chất lượng

may sieu am mylab x5
4 ổ cắm đầu dò, tiết kiệm thời gian lựa chọn và thay đồi đầu dò, giúp việc thăm khám thường ngày trở nên đơn giản, nhanh chóng và hiệu quả. Nhờ sự đổi mới của đầu dò siêu âm máy MyLab ™ X7 đạt tiêu chuẩn iQProbes cung cấp hình ảnh tiên tiến nhất.
  • Vật liệu composite tổng hợp, thiết kế hình quả táo thân thiện, dễ dàng cầm khi thao tác.
  • Nhiều lớp cảm ứng
  • Ống kính hình học Bi-con
  • Sử dụng rộng rãi các ứng dụng với hình dạng mở rộng, thể tích, ứng dụng hiệu quả trong phẫu thuật và hình dạng đầu dò đặc biệt.

Tùy chọn kết nối rộng

Trong một thế giới thay đổi nhanh chóng, nơi giá trị của thông tin tăng lên nhờ khả năng chia sẻ nó, mức độ quản lý dữ liệu lâm sàng cao nhất phải được cung cấp để đáp ứng nhu cầu y tế ngày nay.  Dựa trên Windows 10 trên thiết bị, cho phép các chuyên gia hình ảnh tiếp cận các chẩn đoán hiệu quả hơn, từ đó có thể nâng cao mức độ chăm sóc sức khỏe tổng thể được cung cấp.
  • Kết nối DICOM (bao gồm Truy vấn/Truy xuất)
  • Lưu trữ đa phương thức
  • Kết nối không dây
  • Máy tính bảng MyLab 
may sieu am mylab x7

Các ứng dụng với máy siêu âm MyLab™ X7

may sieu am mylab x7
  • Hình ảnh tổng quát MyLab  X7 mới của Esaote đáp ứng tất cả các nhu cầu lâm sàng, từ ứng dụng vùng bụng đến nội tiết, để thiết lập chẩn đoán và cung cấp liệu pháp cũng như theo dõi tốt nhất có thể.
  • Tim mạch MyLab  X7 được trang bị khả năng siêu âm tim và mạch máu toàn diện. Đây là một hệ thống hoàn chỉnh dành cho mọi cuộc kiểm tra siêu âm tim mạch với các phép đo và báo cáo có thể tùy chỉnh.
  • Sản phụ khoa Các đầu dò lồi, đầu dò 3D, đầu dò nội soi... cung cấp chất lượng hình ảnh tuyệt vời cho các kiểm tra sản phụ khoa.

Kết nối của máy siêu âm MyLab™ X7

Esaote đã được công nhận là công ty hàng đầu thế giới trong việc quản lý và chia sẻ dữ liệu lâm sàng, đóng góp vững chắc cho nền y học thế giới.  MyLab™ Seven có khả năng kết nối với hệ thống máy tính, máy tính bảng, điện thoại, tương thích với nhiều thiết bị đầu dò của các thương hiệu khác. Các thiết bị của Esaote được bán chính hãng, giá tốt tại Việt Thanh Group.

Thiết bị ngoại vi máy siêu âm MyLab ™ X7

Esaote có khả năng kết nối với máy in và DVR (Thiết bị ghi hình kỹ thuật số) để cho phép chất lượng hình ảnh in tốt nhất và đáp ứng mọi nhu cầu cụ thể về lưu trữ chẩn đoán.

Các thiết bị ngoại vi siêu âm có thể kết nối với máy siêu âm phụ thuộc vào hệ thống/cấu hình.

Chứng chỉ máy siêu âm MyLab™ X7

MyLab ™ X7 do Esaote SpA sản xuất, tuân thủ chứng chỉ MDR 2017/745 và các sửa đổi liên tiếp. Theo quy định này, Esaote đã phân loại nó là thiết bị Loại IIa.

Tính năng + hình ảnh siêu âm với máy MyLab ™ X7

Siêu âm tổng quát

may sieu am mylab x7
MicroV – Siêu âm vi mạch máu: Nhận diện các dòng chảy siêu nhỏ và vận tốc thấp, đặc biệt phân bố mạch máu trong các sang thương khu trú.
may sieu am mylab x7
ElaXto – Siêu âm đàn hồi mô định tính: Xác định độ đàn hồi mô cùng tỷ lệ độ cứng, tỷ lệ đường kính E/B ứng dụng trong vú, giáp, cơ xương khớp và được hướng dẫn bởi hiệp hội siêu âm thế giới WFUMB.
may sieu am mylab x7
e-Streaming: Giúp điều chỉnh và xem lại dữ liệu thô của bệnh nhân trên thiết bị di động của bạn dễ dàng, đơn giản và thuận tiện.
may sieu am mylab x7
BiRad – TiRad: Các protocol tự phân độ BiRad, TiRad theo tiêu chuẩn của ACR (American College of Radiology).

Siêu âm sản phụ khoa

may sieu am mylab x7
XLight - phần mềm siêu âm sản 3D/4D chuyên sâu cho mặt thai nhi mịn, chân thật. Nhờ công nghệ bố trí nguồn sáng ảo và khả năng tái tạo bề mặt.
may sieu am mylab x7
Đầu dò Phụ khoa 4D - tái tạo 4 chiều bên trong phụ khoa.
may sieu am mylab x7
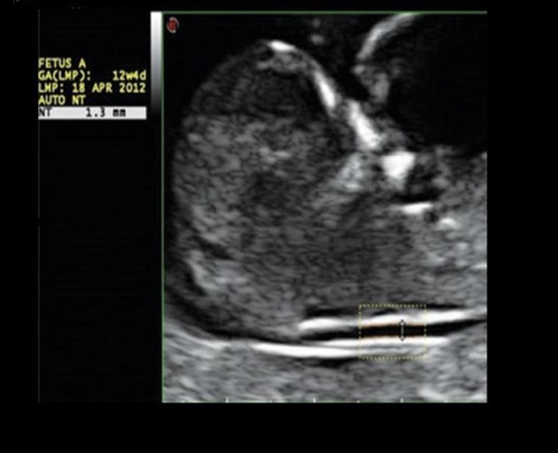
AutoNT – Tự động đo độ mờ da gáy.
may sieu am mylab x7
VRA - phần mềm tự động tính toán thể tích nang noãn.
may sieu am mylab x7
TMI - Siêu âm đa lát cắt.
may sieu am mylab x7
XSTIC - phần mềm phân tích không gian thời gian tim thai.

Siêu âm tim mạch

may sieu am mylab x5
TVM: bản đồ vận tốc mô với chế độ kép (Doppler màu và Doppler năng lượng).
may sieu am mylab x7
Xstrain4D - Đánh giá vận động vùng tâm thất trái toàn diện với Siêu âm đánh dấu mô cơ tim 4 chiều.
may sieu am mylab x7
Siêu âm đánh dấu mô theo 3 hướng: dọc, vòng tròn và xuyên tâm với công nghệ độc quyền và chính xác.
may sieu am mylab x7
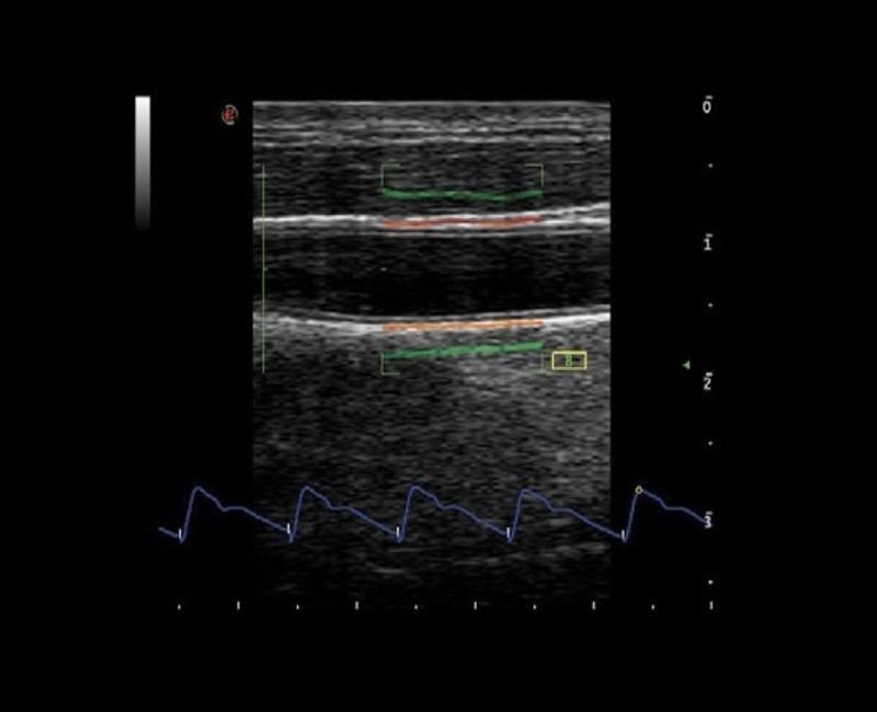
Sóng RF: Công nghệ đo độ đàn hồi thành mạch máu bằng sóng RF (Radio Frequency) giúp tiên lượng nguy cơ xơ vữa động mạch và đột quỵ.
Tài liệu: Brochure mylab X7